NHKクローズアップ現代を見て その2
Category:未分類
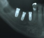
前回、皆さんはNHKクローズアップ現代を見ていかにドリリングが危険なことかがよくお分かりになったと思います。歯の中の根管治療をする時でもいきなりドリルで削ることはしませんよね。インプラントを骨に入れる時も同じだと思います。しかし従来のインプラントの埋入はすべていきなりのドリリングでおこなわれてきました。僕たちの行っている大口式、MS式インプラント埋入法は決していきなりドリリングしません。オーギュメーターやMS式オステオトームによってジグリングで広げていきます。時にはドリルを使いますが、それは最後のインプラントホールを作るときのみです。昨日のオペでもオトガイ孔付近に2本埋入しました。ベテランのインプラント専門医でもうなる位置に埋入できました。手術が終わった後患者さんの奥様は涙がぼろぼろ出てきてやっと念願の歯が入りますねと感動してました。インプラント治療はすぐれた歯科技術です。
![]()





