医院設備のご案内|港区表参道歯科 インプラント(大口式)・審美・矯正・セレック・クリーニング|デンタルデザインクリニック

alt

ホーム > ブログ

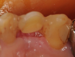
D2インプラントケアー その2

前回のブログで発表したD2インプラントケアーの使用したインプラント術後1週間の抜糸時の写真ができました。下記のようにまるで1か月たったような仕上がりです。ほとんど炎症出血腫脹もありません。やはり大切なことは術後の初期の感染予防です。感染さえ押さえられれば、マクロファージの出現も抑えられインターフェロンTNAーαも抑えられます。D2インプラントケアーは外科手術の術後の感染防止にも使えます。これで患者さんが慣れていただければ、ずっと使い続けるはずです。
000093_0002_01_01.jpgbbb.jpg

/blog/2012/09/08/